1. ΔΙΑΣΤΗΜΑΤΑ ΑΝΑΜΕΣΑ ΣΤΑ ΔΟΝΤΙΑ
ΠΡΙΝ

META

2. ΣΥΝΩΣΤΙΣΜΟΣ ΔΟΝΤΙΩΝ
ΠΡΙΝ

META

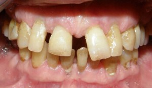
3. ΟΡΟΔΟΝΤΙΚΗ ΜΕΤΑ ΤΗΝ ΠΕΡΙΔΟΝΤΙΤΙΔΑ
ΠΡΙΝ

META

4. ΟΡΘΟΔΟΝΤΙΚΗ ΚΑΙ ΠΡΟΣΘΕΤΙΚΗ
ΠΡΙΝ

META

5.ΠΕΤΑΧΤΑ ΔΟΝΤΙΑ
ΠΡΙΝ

META

6.ΧΑΣΜΟΔΟΝΤΙΑ
ΠΡΙΝ

META

7. ΥΠΕΡΣΥΓΚΛΕΙΣΗ (ΤΑ ΠΑΝΩ ΔΟΝΤΙΑ ΚΑΛΥΠΤΟΥΝ ΠΟΛΥ ΤΑ ΚΑΤΩ)
ΠΡΙΝ

META

8. ΣΥΝΤΟΜΗ ΟΡΘΟΝΟΝΤΙΚΗ ΣΕ ΠΑΝΩ Ή ΚΑΤΩ ΔΟΝΤΙΑ (3-8 ΜΗΝΕΣ)
ΠΡΙΝ

META

9. ΣΤΡΑΒΗ ΠΑΝΩ ΜΕΣΗ ΓΡΑΜΜΗ
ΠΡΙΝ

META


