Αισθητικοί λόγοι για να αποφασίσει ένας ενήλικας ορθοδοντική
Το όμορφο αρμονικό χαμόγελο είναι μεγάλο προσόν για έναν ενήλικα! Χαρίζει αυτοπεποιήθηση, μας κάνει να χαμογελάμε αυθόρμητα, να φαινόμαστε υπέροχοι στις φωτογραφίες και σίγουρα προδιαθέτει θετικά τους γύρω μας, τόσο σε προσωπικό όσο και σε επαγγελματικό επίπεδο.
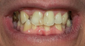
Πολλές φορές παρατηρούμε άτομα με πολύ όμορφα πρόσωπα, των οποίων η αισθητική μετριάζεται μόλις χαμογελάσουν, λόγω της αντιαισθητικής οδοντοφυίας. Οδοντικά προβλήματα που πιο συχνά επηρεάζουν αρνητικά την αισθητική του προσώπου είναι τα στραβά ή πολύ αραιά δόντια, τα πολύ πεταχτά δόντια ή η μεγαλη απόκλιση της μέσης γραμμής των δοντιών.
Παραθέτονται παρακάτω μερικά παραδείγματα, στα οποία φαίνεται η βελτίωση του χαμόγελου πριν και μετά την ορθοδοντική θεραπεια