Τί είναι η προληπτική ορθοδοντική;
Πρόκειται για μια σύντομη ορθοδοντική θεραπεία που γίνεται σε παιδιά μικρής ηλικίας με στόχο είτε να προλάβει τη δημιουργία ορθοδοντικού προβλήματος ή να περιορίσει σημαντικά τη βαρύτητά του στο μέλλον.
Μπορούμε να τη διακρίνουμε σε μια πολύ απλή σύντομη προληπτική φάση ελάχιστων μηνών (για απλά προβλήματα) ή σε μια 1η φάση θεραπείας 6-12 μηνών (για πιο σύνθετα προβλήματα).
Σε ποιές περιπτώσεις είναι καλό να γίνεται απλή προληπτική ορθοδοντική;
Γιατί να κάνει ένα παιδί 1η φάση θεραπείας; Ποια τα πλεονεκτήματα;
1. Όταν μεμονωμένα μπροστινά δόντια της άνω γνάθου μπαίνουν μέσα από τα κάτω.
Αυτή η κατάσταση πρέπει να διορθωθεί γιατί δημιουργεί δύο σημαντικά προβλήματα: α. «σπρώχνει» την κάτω γνάθο προς τα εμπρός με πιθανή εμφάνιση προγναθισμού, β. αποτρίβεται η αδαμαντίνη των δοντιών που κλείνουν ανάποδα και βλάπτονται τα ούλα τους. Στα παρακάτω 2 παραδείγματα (α και β) φαίνεται η διόρθωση του προβλήματος μετά από παρέμβαση 3-5 μηνών.
α.
ΠΡΙΝ

ΜΕΤΑ

β.
ΠΡΙΝ

ΜΕΤΑ

ΠΡΙΝ

ΜΕΤΑ

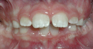
2.Όταν τα πίσω δόντια της πάνω γνάθου κλείνουν μέσα από τα κάτω από τη μια πλευρά και η κάτω γνάθος «στραβώνει» κατά το κλείσιμο.
(Βλέπουμε πόσο απέχει η κάτω μέση γραμμή των δοντιών από την πάνω, όπως φαίνεται στο παρακάτω παραδειγμα). Στην περίπτωση αυτή πρέπει να διευρύνουμε την πάνω γνάθο, ώστε η κάτω γνάθος να κλείνει σωστά και να μην αναπτυχθεί ασυμμετρία.
ΠΡΙΝ

ΜΕΤΑ

3.‘Όταν υπάρχει χάσμα στα μπροστινά δόντια από ορισμένες συνήθειες (όπως όταν το παιδί βάζει πιπίλα ή δάχτυλο στο στόμα πέραν των 3 ετών).
Εάν το παιδί σταματήσει τη βλαβερή συνήθεια συνήθως η βλάβη αποκαθίσταται σε μεγάλο βαθμό μόνη της. Εάν όμως το παιδί συνεχίζει επίμονα πέραν της ηλικίας των 4 ή ήδη το χάσμα είναι πολύ μεγάλο και η γλώσσα σπρώχνεται συνεχώς ανάμεσα και το συντηρεί, επηρεάζοντας και την ομιλία, τότε η ορθοδοντική μπορεί να βοηθήσει με ένα απλό μηχάνημα.
ΠΡΙΝ

ΜΕΤΑ

4.Όταν τα μπροστινά δόντια της πάνω γνάθου πετάνε πολύ, με αυξημένο κίνδυνο τραυματισμού τους.
Θέλουμε να τα προστατεύσουμε έγκαιρα ιδίως στα πρώτα χρόνια της σχολικής ζωής, όπου και έχουμε τα περισσότερα ατυχήματα. Πιο ολοκληρωμένη αντιμετώπιση του προβλήματος συνήθως θα χρειαστεί αργότερα.
ΠΡΙΝ

ΜΕΤΑ

ΠΡΙΝ

ΜΕΤΑ

5. Όταν ένα ή περισσότερα παιδικά δόντια έχουν χαθεί πριν την ώρα τους
- (πχ. από τραυματισμό, τερηδόνα κα). Εάν το αντίστοιχο μόνιμο δόντι χρειάζεται αρκετό χρόνο για να κατέβει, πρέπει συνήθως να κρατήσουμε το χώρο ώστε να μη μετακινηθούν στη θέση του άλλα δόντια και δημιουργηθεί ορθοδοντικό πρόβλημα, ενώ θα μπορούσε πολύ εύκολα να προληφθεί. Αυτό γίνεται με απλά παθητικά μηχανήματα, όπως στις εικόνες α και β.
α.

β.

Πώς γίνεται η προληπτική ορθοδοντική;
Συνήθως η προληπτική ορθοδοντική γίνεται με ένα απλό ορθοδοντικό μηχάνημα που ένα μικρό παιδί μπορεί να χρησιμοποιήσει εύκολα. Μετά την αρχική τοποθέτηση του μηχανήματος το παιδί παρακολουθείται ανά 4-7 βδομάδες(ανάλογα με το μηχάνημα) για όσους μήνες χρειάζεται η διόρθωση του προβλήματος.
ΤΙ ΕΙΝΑΙ 1η ΦΑΣΗ ΘΕΡΑΠΕΙΑΣ;
Τα ορθοδοντικά προβλήματα στα παιδιά μπορούν να διορθωθούν είτε σε μια ενιαία ορθοδοντική θεραπεία διάρκειας 2-3 χρόνων ή σε θεραπεία που θα διασπάσουμε σε δυο φάσεις (1η και 2η), οι οποίες συνήθως δεν είναι συνεχόμενες. Οι κυριότερες ενδείξεις για να προτιμήσουμε αυτή την επιλογή είναι σκελετικά προβλήματα των γνάθων, των οποίων η αντιμετώπιση πρέπει να αρχίζει σχετικά νωρίς, η έλλειψη χώρου για κάποια δόντια, όπου πιθανότατα να χρειάζονταν εξαγωγές μονίμων δοντιών εάν το παιδί αργήσει να ξεκινήσει θεραπεία, και η διαπίστωση φθοράς δοντιών από την υπάρχουσα σύγκλειση.
Η 1η φάση θεραπείας ξεκινά συνήθως αφού έχουν αρχίσει να ανατέλουν τα τέσσερα μπροστινά άνω και κάτω δόντια (7-9 ετών). Διαρκεί περίπου 8-12 μήνες. Όταν επιτευχθούν οι στόχοι της, η ορθοδοντική διακόπτεται και εφόσον υπάρχει περαιτέρω ανάγκη η 2η φάση αρχίζει γύρω στα 11-12 (σιδεράκια σε πάνω και κάτω δόντια).
Αναλυτικότερα οι σημαντικότερες ενδείξεις για να κάνει ένα παιδί 1η φάση θεραπείας είναι:
Α.Όταν η κάτω γνάθος βγαίνει πιο μπροστά από την πάνω.
Εάν αυτή η κατάσταση δε διορθωθεί νωρίς, τότε το πρόβλημα της κάτω γνάθου μπορεί να γίνει τόσο έντονο που να μη μπορεί να διορθωθεί πλέον αποτελεσματικά. Επίσης το παιδί θα έχει περάσει τα ευαίσθητα μαθητικά χρόνια με ένα μεγάλο αισθητικό πρόβλημα. Αυτού του τύπου τα προβλήματα χρειάζονται σχεδόν πάντα 2η φάση θεραπείας, αλλά η βελτίωση που υπάρχει από την 1η φάση είναι ιδιαίτερα αισθητή όπως φαίνεται στα παρακάτω παραδείγματα.
Πριν

Μετά την 1η φάση

Πριν

Μετά την 1η φάση

Πριν

Μετά την 1η φάση

Β.Όταν η πάνω γνάθος είναι πολύ στενή οπότε δημιουργείται σταυροειδής σύγκλειση στα πίσω δόντια
(δηλαδή τα πίσω δόντια της άνω γνάθου κλείνουν μέσα από τα κάτω)
Πριν

Μετά την 1η φάση

Μετά την 2η φάση

Πριν

Μετά την 1η φάση

Μετά την 2η φάση

Στην περίπτωση που η σταυροειδής (ανάποδη) σύγκλειση υπάρχει και στις δύο πλευρές πίσω(δεξιά και αριστερά), αυτό σημαίνει ότι η πάνω γνάθος είναι πολύ στενή και τα μόνιμα δόντια θα δυσκολευτούν πολύ να βρουν χώρο να ανατείλουν , αλλά και η σύγκλεισή τους θα έχει προβλήματα τόσο μπροστά, όσο και πίσω.
Πριν

Μετά την 1η φάση

Μετά την 2η φάση

Γ. Όταν η πάνω γνάθος είναι πολύ πιο μπροστά από την κάτω ή τα επάνω μπροστινά δόντια είναι πολύ πεταχτά
Πριν

Μετά την 1η φάση

Πριν

Μετά την 1η φάση

Δ. Όταν το παιδί έχει μεγάλο χάσμα ανάμεσα στα δόντια, είτε από παρατεταμένο θηλασμό δακτύλου, είτε επειδή η γλώσσα συντηρεί ένα μεγάλο κενό που δημιουργήθηκε σε μικρότερη ηλικία.
Οι θεραπείες 1ης φάσης που εμπίπτουν σ’αυτή την κατηγορία μπορούν να βοηθήσουν σημαντικά σε περιπτώσεις παιδιών με στοματική αναπνοή ή που ξεκινούν λογοθεραπεία για προβλήματα στην ομιλία (μπορεί να προηγηθεί συνεννόηση με τον αντίστοιχο ειδικό (ΩΡΛ ή λογοθεραυτή).
Πριν

Μετά την 1η φάση

Μετά την 2η φάση

Ε. Σε ορισμένες περιπτώσεις όπου δεν υπάρχει χώρος για την ανατολή ενός ή περισσότερων δοντιών.
Πριν

Μετά την 1η φάση

Μετά την 2η φάση


